
En Clínica Herrera y Tolosa Podología contamos con los últimos sistemas de imagen y procesamiento radiológico para el estudio de las alteraciones del pie y del tobillo.
Al realizar una radiografía los podólogos exponemos al paciente a una muy leve radiación ionizante. Para evaluar y tratar de la forma más adecuada las diferentes patologías del pié, contamos con la ayuda de aparatología de alta definición, con baja emisión de radiaciones ionizantes y que cumple con la normativa vigente.
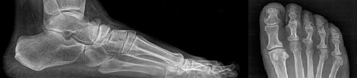
La radiología del pie y tobillo complementa a la exploración clínica, pues nos permitirá en el momento de la consulta, obtener una imagen radiológica del pie, la cual a su vez nos ayudará en la confirmación o descarte de la patología existente en ese momento. En la actualidad, la radiología digital permite obtener imágenes en formato digital sin necesidad de recurrir al tradicional revelado de “placas”

La mayoría de las radiografías óseas no precisan de preparación alguna. Se puede solicitar a la paciente que retire parte de su vestimenta. También se puede requerir la retirada de joyas o cualquier objeto metálico, que pudiese interferir con las imágenes de rayos X. Las mujeres siempre debe informar al podólogo si existe la posibilidad de embarazo. La radiación podría ser peligrosa para el feto. Ante cualquier duda y siendo necesaria la exploración, se tomarán las precauciones para minimizar la exposición del feto a la radiación.
Principal | Servicios Clínicos | Profesionales | Consejos | Casos Clínicos | Contacte con Nosotros Clínicas Podológicas Herrera y Tolosa | Todos los Derechos Reservados 2017-2024 | Aviso Legal